マウスピース矯正治療をご紹介します | About “invisalign”
矯正治療と聞くと、ほとんどの場合、お口を開けた時に見えるワイヤーの装置を装着する治療方法というイメージをお持ちではないでしょうか。
歯並びを治したいという想いはあっても、ワイヤーを装着しているのが目立つのが嫌という方が多くいらっしゃいます。
しかし、当院が扱っているマウスピース型の矯正装置であれば見た目がほとんど気にならず矯正治療を行うことができます。
なぜオススメなのか? | Reason of recommended mouthpieces
1. 装着していても気づかれにくい

マウスピース型の矯正装置は透明な装置のため、周りから見ても気づかれにくいメリットがあります。
矯正治療中でも歯を見せて笑うことができます。
2. 自身で着脱が可能

従来のワイヤー型だと、自身で取り外すことができず、歯科医院にて専用の器具で取り外す必要がありますが、マウスピース型の矯正装置はご自身で着脱が可能なため、非常に衛生的です。
3. 装置を気にせず食事が普段通りに可能です。

ワイヤー矯正では、食事の際に色移りや破損の恐れがありますが、マウスピース矯正では装置を取り外すことにより普段通りの食事が可能となっております。
小児矯正のポイント | About pediatric orthodontics
顎の成長のコントロールができるので、噛み合わせと顔貌の仕上がりが良い

成長期のお子様は、歯並びだけでなく顎の発育にも働きかけられる点が小児矯正の特長です。上下の顎のバランスを整えることで、無理のない噛み合わせを目指せます。また、口元や輪郭の印象にも配慮しやすく、自然な顔立ちにつながります。将来の本格矯正や抜歯のリスクを抑えられる可能性がある点もメリットです。
歯並びが整うと虫歯になりにくい

歯がきれいに並ぶことで、歯ブラシが細かい部分まで届きやすくなり、汚れを効率よく落とせるようになります。歯が重なっている状態では、食べかすやプラークが残りやすく、虫歯の原因になりがちです。小児矯正で歯並びの土台を整えておくことで、毎日の歯みがきの質が高まり、虫歯になりにくいお口の環境を育てることができます。お子様の将来の健康を見据えた予防の一歩といえるでしょう。
子供は骨が柔らかく歯が動きやすい

成長途中のお子様は、顎の骨が発達段階にあり、硬く固まっていません。そのため、歯の位置や顎のバランスを比較的スムーズに整えやすい時期といえます。成長の流れに合わせて行う小児矯正は、歯並びだけでなく噛み合わせの土台づくりにも役立ちます。
早期の治療により将来の大掛かりな矯正治療や、抜歯矯正が少なくなる

成長期に矯正を行うことで、顎の発達に合わせて歯が並ぶ環境を整えやすくなります。早い段階で土台を整えておくと、成長後に歯を大きく動かしたり、抜歯を選択したりする必要が減る場合があります。結果として、治療期間や身体的な負担を抑えられる可能性があり、お子様にとって無理の少ない矯正治療につながります。
小児矯正だけで済む可能性があるため、費用が抑えられる可能性がある

成長段階に合わせて小児矯正を行うことで、歯並びや噛み合わせの基礎が整い、その後の矯正治療が必要なくなる場合があります。早い時期に問題を軽減できれば、追加の装置や長期間の治療を行わずに済むこともあり、結果として矯正にかかる全体的な費用負担が小さくなる可能性があります。将来を見据えた治療選択として検討される理由のひとつです。
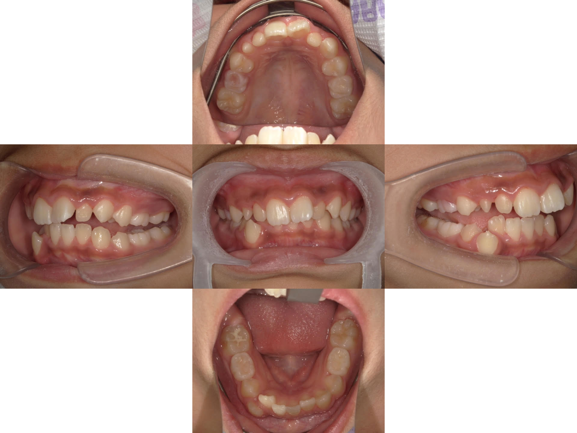
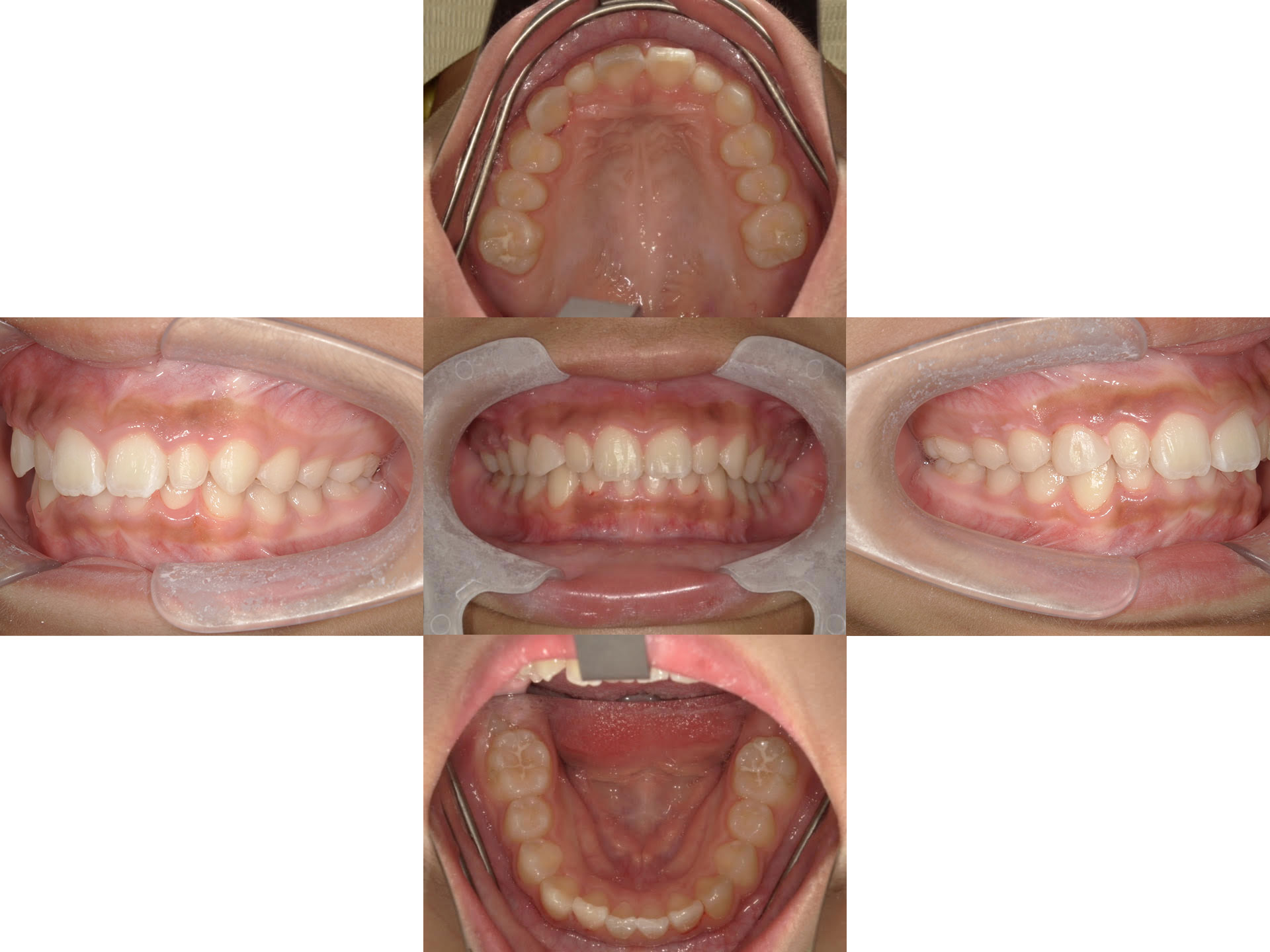
小児矯正(Ⅰ期)の症例 | Case of pediatric orthodontics
治療前
治療後
| 患者様 | 10代(小学生)女性 |
|---|---|
| 主訴 | 歯並びの乱れを改善したい |
| 治療内容 | マウスピース矯正(非抜歯) 矮小歯の右上3番にコンポジットレジンを貼り付ける治療を実施 |
| 治療期間 | 1年9ヶ月 |
| 通院回数 | 26回 |
| 治療費 | 小児矯正診断料 3万3千円(税込) マウスピース矯正 44万円(税込) 毎月の管理・処置料金 4400円×20回=88000円(税込) 合計64万9000円 |
| リスク | 矯正のマウスピースによる不快感や痛みがある場合があります 歯の動きには個人差があり、当初予定されていた治療期間より時間がかかる場合があります |
治療費 | Price
矯正治療の基本的な費用 二期治療
| 診断料 | 77,000円(税込) |
|---|---|
| 装置料(マウスピース) | 769,000円(税込) ※診断結果により料金が変動する場合があります。 |
| 保定装置代 | 44,000円(税込) |
| 月管理料 | 4,400円(税込) |
部分矯正
| 装置料(マウスピース) | 220,000~440,000円(税込) ※診断結果により料金が変動する場合があります。 |
|---|---|
| 月管理料 | 4,400円(税込) |
| 保定装置代 | 22,000〜44,000円(税込) |
分割支払いの例
(総額 825,000 円の場合)
| 頭金 | 200,000円(税込) |
|---|---|
| 一回目 | 75,000円(税込) |
| 二回目以降(11 回) | 50,000円(税込)/1本 |
※12回分割以上の分割もあります。
※分割支払い額に保定装置は含まれません。
矯正治療の基本的な費用 一期治療(混合⻭列期から始める矯正)
| 110,000円〜451,000円(使用する装置により金額が異なります) |
歯列矯正とは
https://www.invisalignjapan.co.jp/consumer/orthoマウスピース矯正とは
https://www.invisalignjapan.co.jp/consumer/mouthpieceコラム
https://www.invisalignjapan.co.jp/consumer/specialQ&A
https://www.invisalignjapan.co.jp/consumer/faq矯正治療Q&A | Q&A
- Q.1 矯正期間の見た目が気になってしまうが周りにやっぱりバレやすいでしょうか?
- A.
ワイヤーと比べてまず気づかれません。
- Q.2.マウスピース矯正よりもワイヤー矯正の方が矯正期間が短くできると聞いたことがあるのですが、どうなのでしょうか?
- Q.3.痛みはありますか?
- Q.4.矯正治療はどのくらいの期間するのですか?
